New patients receive a $25 Gift Card, when booking any service this New Year. Ask us about our offer details*

General Dentistry

General Dentistry

Our general dentistry services focus on preventive, restorative, and routine care to maintain your family’s oral health and confident smiles.

From regular checkups and cleanings to fillings and comprehensive treatment plans, we provide gentle care for every patient.

Review
Amalgam-Free

Amalgam-Free

Conestoga Dental Group offers a variety of restorative dental treatments using amalgam-free and mercury-free materials.

Restorative dental treatments using amalgam-free and mercury-free materials.

Review
Cosmetic Dentistry

Cosmetic Dentistry

Transform your smile with advanced cosmetic dental treatments. From teeth whitening to veneers and smile makeovers, our team helps you achieve a confident and natural-looking smile.

We design personalized cosmetic plans to enhance your teeth while ensuring comfort and long-lasting results.

Review
Family Dentistry

Family Dentistry

Comprehensive dental care for every age, under one roof. From a child’s first dental visit to ongoing adult and senior care, our family dentistry ensures healthy smiles for life.

We focus on preventive care, gentle treatments, and a welcoming environment to make visits stress-free for the whole family.

Review
Children Dentistry

Children Dentistry

Conestoga Dental Group understands that visiting the dentist can be daunting for kids. That's why our children's dentistry is designed with your little one's comfort in mind.

Restorative dental treatments using amalgam-free and mercury-free materials.

Review
Dental Crowns & Bridges

Dental Crowns & Bridges

Both bridges and crowns are prosthetic devices that are fixed where a tooth (or teeth) is missing.

The idea behind a crown is to cap or cover a damaged tooth entirely.

Review
Dental Cleaning & Prevention

Dental Cleaning & Prevention

Root canal therapy is also known as endodontic treatment. As a dental procedure, it involves the removal of the damaged or diseased pulp or core of a tooth.

A root canal therapy is necessary in situations where the pulp, which is a soft tissue inside the root canal, becomes infected or inflamed.

Review
Dental Implants

Dental Implants

Missing teeth can have a harmful effect on your facial structure as it can put a visible mark on your smile.

You may benefit from a dental procedure that can put an end to the problems brought on by a missing tooth.

Review
Dental Veneers

Dental Veneers

Dental Veneers (composite veneers and porcelain/ceramic veneers) are utile components used in cosmetic dentistry to improve your appearance and protect the tooth surface from damage.

The practice involves covering the front side of the tooth with a wafer-thin, custom-made shell bonded to the tooth using a bonding agent.

Review
Extractions

Extractions

A tooth may require an extraction when it is severely infected and there is no other viable option available to treat the disease.

Extraction of impacted third molar (wisdom teeth) may become essential when their growth is abnormal.

Review
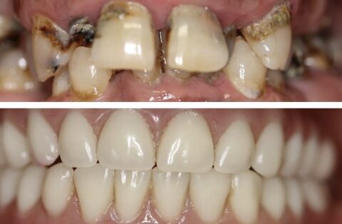
Full Mouth Reconstructions

Full Mouth Reconstructions

Tired of living with a mouth full of damaged, decaying, or missing teeth? Conestoga Dental Group's Full Mouth Reconstruction can give you a complete smile makeover.

Review
Invisalign

Invisalign

Tired of feeling self-conscious about your crooked smile? Conestoga Dental Group's Invisalign can give you the straight, confident grin you've always wanted - without the hassle of traditional metal braces.

Review
New Patients & Emergencies

New Patients & Emergencies

At Conestoga Dental Group, we understand that dental issues can be stressful and painful. That's why our skilled team provides personalized, gentle care to get your oral health back on track.

Review
Root Canal Therapy

Root Canal Therapy

Dealing with a painful, infected tooth? Our root canal therapy is your path to relief and a healthy smile. This proven procedure clears out the diseased pulp inside your tooth, then seals and restores it

Review
Teeth Whitening

Teeth Whitening

Teeth whitening is a type of aesthetic procedure that lightens or whitens the shade of the tooth thus enhancing one’s smile.

Review

Contact Us

Have a question? Send us your query

We’re Here to Take Care of Your Dental Health!

If you're looking for a trusted family dental clinic, Conestoga Dental Group offers a warm and welcoming space for patients of all ages. We provide treatments tailored to your needs and lifestyle, with flexible weekend and late-night appointments. Enjoy free parking, Wi-Fi, and a clean, modern environment. Our compassionate team is here to guide you through every step, using advanced technology to ensure precise care.

Copyright © Conestoga Dental Group. All Rights Reserved by Make Innovations Media